By Stephen Beech
A washboard stomach can help keep at bay, according to new research.
(SWNS)
Photo by Anna Shvets via Pexels
Please log in, or sign up for a new account and purchase a subscription to continue reading.
We have used your information to see if you have a subscription with us, but did not find one. Please use the button below to verify an existing account or to purchase a new subscription.
Your current subscription does not provide access to this content. Please use the button below to manage your account.
Please log in, or sign up for a new account and purchase a subscription to continue reading.
Please purchase a subscription to continue reading.
Your current subscription does not provide access to this content.

By Stephen Beech
A washboard stomach can help keep at bay, according to new research.
American scientists found that having a toned tummy and less belly fat slows brain aging.
The study showed that a specific body profile - higher muscle mass combined with a lower visceral fat to muscle ratio - tracks with a younger brain age.
The research team explained that visceral fat is hidden deep within the abdominal cavity, surrounding vital internal organs.
Study senior author said: “Healthier bodies with more muscle mass and less hidden belly fat are more likely to have healthier, youthful brains.
“Better brain health, in turn, lowers the risk for future brain diseases, such as Alzheimer’s.â€
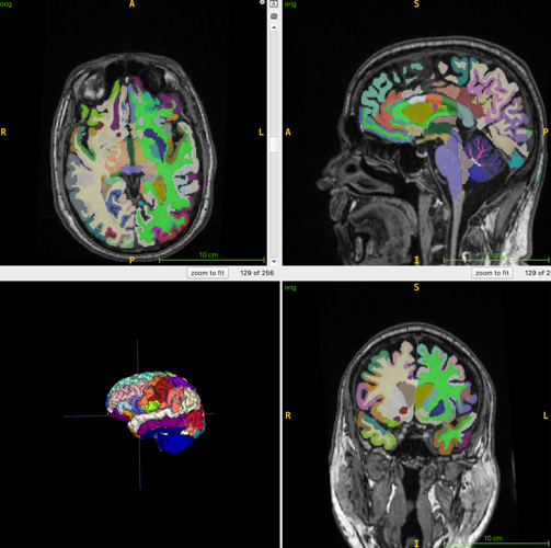
He explained that brain age is the computational estimation of chronological age from a structural MRI scan of the brain.
Muscle mass, as tracked by body MRI, can be a surrogate marker for a number of interventions to reduce frailty and improve brain health, and brain age predicted by structural brain images can lend insight to risk factors, such as muscle loss.
(SWNS)
By TalkerDr. Raji, of in St. Louis, Missouri, said: "While it is commonly known that chronological aging translates to loss of muscle mass and increased hidden belly fat, this work shows that these health measures relate to brain aging itself.
“It shows muscle and fat mass quantified in the body are key reflectors of brain health, as tracked with brain aging.â€
For the ongoing study, 1,164 healthy men and women, with an average age of 55.17, were examined with whole-body MRI.
The research team combined MRI imaging with T1-weighted sequences - a technique that produces images where fat appears bright and fluid appears dark.
Dr. Raji said that allows for optimal imaging of muscle, fat and brain tissue.
An (AI) algorithm was used to quantify total normalized muscle volume, visceral fat, subcutaneous fat - fat under the skin - and brain age.
The researchers found that a higher visceral fat to muscle ratio was associated with higher brain age, while subcutaneous fat showed no significant association with brain age.
Prof Raji said: “The participants with more muscle tended to have younger-looking brains, while those with more hidden belly fat relative to their muscle had older-looking brains.
“The fat just under the skin wasn’t related to brain aging.
"In short, more muscle and a lower visceral fat to muscle ratio were linked to a younger brain.â€
He says building muscle and reducing visceral fat are "actionable" goals.
Photo by Anna Shvets via Pexels
Whole-body MRI and AI brain-age estimates provide the chance to design and monitor interventions, including programs or therapies that lower visceral fat while preserving muscle.
Dr. Raji noted that the research shows how body and brain health are closely linked.
He said: “This research has validated widely held hypotheses about the association between body composition biomarkers and brain health and provides a foundation for those biomarkers to be included in future trials of various metabolic interventions and treatments."
He says that while widely prescribed glucagon-like peptide-1 (GLP-1) weight loss drugs, such as Ozempic, are powerful at inducing fat loss, they may also be related to a higher burden of muscle loss.
Dr. Raji says the findings of the study could inform the design of future therapeutics, such as GLP-1 medications that target visceral fat more than subcutaneous fat and minimize muscle loss.
He added: “Losing fat - especially visceral fat - while preserving muscle volume would have the best benefit on brain aging and brain health based on insights from our work.
“Thus, our study can inform future treatments by promoting research that quantifies MRI of body fat, muscle and brain age, which can help determine the optimal dosing regimens for GLP-1s to achieve the best outcomes in body and brain health.â€
The findings are due to be presented at the annual meeting of the (RSNA) in Chicago next week.
Originally published on , part of the .
Sorry, there are no recent results for popular videos.
Sorry, there are no recent results for popular commented articles.
(0) comments
Welcome to the discussion.
Log In
Keep it Clean. Please avoid obscene, vulgar, lewd, racist or sexually-oriented language.
PLEASE TURN OFF YOUR CAPS LOCK.
Don't Threaten. Threats of harming another person will not be tolerated.
Be Truthful. Don't knowingly lie about anyone or anything.
Be Nice. No racism, sexism or any sort of -ism that is degrading to another person.
Be Proactive. Use the 'Report' link on each comment to let us know of abusive posts.
Share with Us. We'd love to hear eyewitness accounts, the history behind an article.