(Brain Tumour Research via SWNS)
By Lula White
A woman who blamed her brain fog on the menopause and long work hours was diagnosed with two .
(Brain Tumour Research via SWNS)
(Brain Tumour Research via SWNS)
Please log in, or sign up for a new account and purchase a subscription to continue reading.
We have used your information to see if you have a subscription with us, but did not find one. Please use the button below to verify an existing account or to purchase a new subscription.
Your current subscription does not provide access to this content. Please use the button below to manage your account.
Please log in, or sign up for a new account and purchase a subscription to continue reading.
Please purchase a subscription to continue reading.
Your current subscription does not provide access to this content.

(Brain Tumour Research via SWNS)
By TalkerBy Lula White
A woman who blamed her brain fog on the menopause and long work hours was diagnosed with two .
Elizabeth Murphy, 60, began struggling to find words, type fluently, and even spell - something she’d never struggled with before.
Assuming it was menopause brain fog and tiredness from long hours in court through her work as a court clerk, Elizabeth carried on.
But when she developed severe headaches and a drooping face, she went to Musgrove Park Hospital in Taunton, where doctors initially suspected a bleed on the brain.
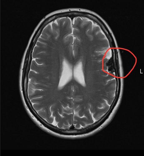
A late night MRI revealed a meningioma, a type of , and five months later, after waiting for specialists to get back to her, she was told she had two brain tumors.
The tumors are now being monitored with regular MRI's.
(Brain Tumour Research via SWNS)
Elizabeth, from Taunton, Somerset, said: “I thought it was the menopause. I was stuttering, struggling to find words and couldn’t type as fluently as I used to.
“But when my face dropped, my colleagues noticed and I went back. That’s when everything changed.
“When they said it was a tumor, I was in shock. We’d been told it was a bleed on the brain, so it came completely out of the blue.â€
Elizabeth starting getting symptoms in early 2025 but initially dismissed them.
The crown court clerk was used to long hours in court and assumed her brain fog down to menopausal symptoms.
Elizabeth started to doubt herself when she found it rapidly harder to find her words, type fluently, and even spell.
But when Elizabeth’s face started to droop on one side, and the headache worsened, she decided to get it checked again.
She was in shock when doctors found a tumor and even more surprised when she was told it was two in March 2025.
Elizabeth said: "I went home and waited five months to hear from neurology. It was terrifying, I kept thinking, what if it’s growing?"
"Then when I finally saw the specialist, they told me not only did I have one tumor, but actually two.â€
(Brain Tumour Research via SWNS)
By TalkerDoctors advised Elizabeth to “watch and wait,†as both tumors were benign and slow growing, but she will now need regular MRI scans to monitor the growth.
This November, Brain Tumour Research is inviting people to join 99 Miles in November challenge, a fitness fundraising challenge to help find a cure for .
Elizabeth is taking on the challenge to give back to the charity funding the research that will one day save lives.
“I’m grateful to be here and to be celebrating my 60th birthday," she said.
“I’ll be in Sri Lanka doing the first two weeks of Brain Tumour Research’s 99 Miles in November challenge, walking to raise vital money for research.â€
“I want others to have hope, but we need more funding and support for people like me who are left waiting and worrying.â€
Letty Greenfield, community development manager at Brain Tumour Research, said: “Elizabeth’s story highlights how easily brain tumor symptoms can be mistaken for something else, from stress to menopause.
“Her experience shows why it’s so important to listen to your body and push for answers.
"We’re incredibly grateful to Elizabeth for sharing her story and taking part in our 99 Miles in November challenge.â€
Originally published on , part of the .
Sorry, there are no recent results for popular videos.
Sorry, there are no recent results for popular commented articles.
(0) comments
Welcome to the discussion.
Log In
Keep it Clean. Please avoid obscene, vulgar, lewd, racist or sexually-oriented language.
PLEASE TURN OFF YOUR CAPS LOCK.
Don't Threaten. Threats of harming another person will not be tolerated.
Be Truthful. Don't knowingly lie about anyone or anything.
Be Nice. No racism, sexism or any sort of -ism that is degrading to another person.
Be Proactive. Use the 'Report' link on each comment to let us know of abusive posts.
Share with Us. We'd love to hear eyewitness accounts, the history behind an article.